整形外科・椎間板ヘルニア
椎間板ヘルニア
背骨と背骨の間にあり、いわばクッションのような役目をしている椎間板が飛び出してしまうことによって様々な障害がおこってしまう病気。
ミニチュア・ダックスフント、シーズー、パグ、フレンチブルドッグなどの手足が短くて胴が長い犬種に多くみられます。何らかの衝撃により突然発症し、歩けなくなってしまうこともありますので、これらの犬種では飼い方に注意が必要です。
○ 症状
・あまり動かない
・抱きあげると「キャン」と鳴いた
・シッポが挙がらなくなった
・いつもソファーに飛び乗っていたのが登れなくなった
・後ろ足がふらつく、あるいは立てない
○ 診断のためには
身体検査、神経学的検査、レントゲン検査、MRI検査、血液検査など。
椎間板ヘルニアをおこしている場所を特定する、椎間板ヘルニアと脊椎腫瘍などの他の病気と区別する、脊髄の状態みるためにはMRI検査が必要になります。
MRI検査は全身麻酔でおこないますので、血液検査が必要となります。
(※MRI検査はキャミック検診センター等で実施します)
○ 治療
軽度のものは内科的に薬で治療しますが、重度のものは手術が必要になります。
症状が進んだものは、できるだけ早く手術をおこない、飛び出した椎間板を摘出しなければならないでしょう。時間が経ってしまうと、飛び出した椎間板によって圧迫をうけている脊髄神経の障害が手術をしても治らなくなってしまい、結局、歩行可能なまで回復しません。
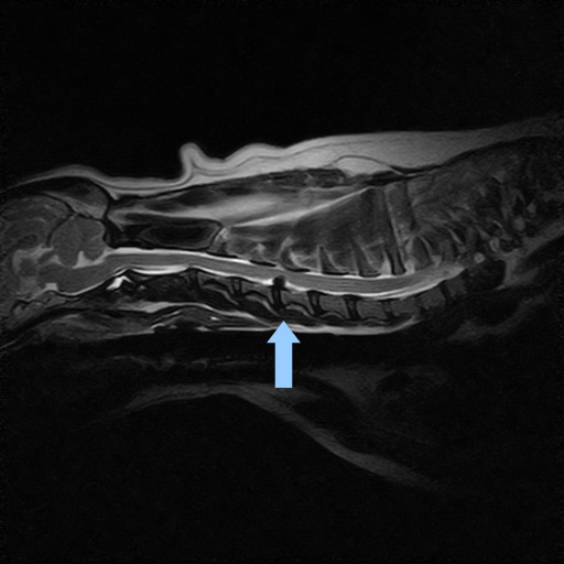
症例① 頚部椎間板ヘルニア
首を触ると痛がる、下を向いていると来院
| 身体検査 | 前肢・後肢のアッパーモーターニューロンサイン、頚部痛 |
| 血液検査 | 特に異常なし |
| レントゲン検査 | 特に異常なし |
| 頭部・頚部MRI検査 | 頚部椎間板ヘルニア |
| 診断 | 頚部椎間板ヘルニア (グレードⅡ) |
| 治療 | ステロイドによる内科的治療をおこなったが、痛みが完全にはなくならないため外科的治療をおこない完治 |
![]() 頚部MRI検査 矢印が飛び出した椎間板 下から上に 飛び出して上にある脊髄神経を圧迫 |
症例② 胸腰部椎間板ヘルニア
元気・食欲がない、動きが鈍いため来院
| 身体検査 | 特に異常なし |
| 神経学的検査 | 後肢のアッパーモーターニューロンサインおよび、膝蓋腱反射等の低下 |
| レントゲン検査 | 胸腰椎部椎間狭窄 |
| 血液検査 | 特に異常なし |
| 胸腰部MRI検査 | 中等度の椎間板逸脱がみとめられた |
| 診断・治療 | 胸腰椎椎間板ヘルニア(グレードⅡ)の疑いで、安静とステロイドの投与をおこなったが、進行したため、外科的治療 |
![]() 胸腰部MRI検査 矢印が飛び出した椎間板 下から上の脊髄神経を圧迫している |
クリックで画像表示
椎間板ヘルニア手術(ヘミラミネクトミー)突出した椎間板を取り除くと同時に椎骨の一部を取り除きます |
症例③ 胸腰部椎間板ヘルニア
急に後肢が立てなくなったため来院
| 身体検査 | 後躯麻痺 |
| 神経学的検査 | 後肢アッパーニューロンサイン、膝蓋腱反射等の後肢反射の低下 |
| 血液検査 | 特に異常なし |
| レントゲン検査 | 胸腰椎椎間板の石灰化 |
| 胸腰部MRI検査 | 重度の椎間板逸脱がみとめられた |
| 診断 | 胸腰椎椎間板ヘルニア(グレードⅢ) |
| 治療 | 外科的治療、リハビリテーション |
![]() 胸腰椎MRI検査(縦断面) |
![]() MRI(横断面) |
![]() MRI(水平面) |
クリックで画像表示
椎間板ヘルニア手術(ヘミラミネクトミー) |
橈骨・尺骨骨折
小型犬に多く、特にトイ・プードル、ヨーキー、ポメラニアンなど体重の軽い子にみられる。
これらの場合、通常の骨折とは異なり、骨への血行障害も見られるために治癒するのに時間がかかる、治療の過程で固定部の骨の吸収がおこる、再骨折を起こしやすいなどと特徴がある。
症例①
ソファーから飛び降りたら骨折したため来院
| 身体検査 | 前肢橈骨・尺骨骨折 |
| 血液検査 | 特に異常なし |
| レントゲン検査 | 前肢橈骨・尺骨骨折 |
| 診断 | 前肢橈骨・尺骨骨折 |
| 治療 | プレートによる内固定手術を実施し、癒合後、プレートを抜去して完治 |
![]() 術後レントゲン検査(ラテラル像) |
![]() (AP像) |
![]() プレート抜去後(ラテラル像) |
![]() (AP像) |
症例②
抱いていて落として前肢をつかないため来院
| 身体検査 | 前肢橈骨尺骨骨折 |
| 血液検査 | 特に異常なし |
| レントゲン検査 | 前肢橈骨尺骨骨折 |
| 診断 | 前肢橈骨尺骨骨折 |
| 治療 | プレートによる内固定、治癒後、プレートを外し、完治 |




















